Kleresca® Skin Rejuvenation
Il futuro della tua pelle
Non c'è aggiunta di alcunché: solo la pelle al suo meglio.
Il modo Kleresca®: risultati senza compromessi
Kleresca® Skin Rejuvenation è un trattamento delicato, efficace e non distruttivo che utilizza energia luminosa fluorescente (FLE) per stimolare il processo di ringiovanimento naturale della pelle. Scientificamente provato e raccomandato dai dermatologi, questo trattamento migliora il carnato e la texture complessiva della pelle senza causare traumi.
Induce produzione di collagene fino al 400%
Rallenta i segni dell'invecchiamento della pelle
Migliora la dimensione dei pori, le piccole rughe e la texture della pelle
Si può fare tutto l'anno, anche d'estate

La differenza è nella fluorescenza
Il trattamento si basa sull'interazione tra uno specifico gel fotoconvertitore e la Luce Kleresca®. I cromofori contenuti nel gel convertono la luce blu emessa dalla lampada in energia luminosa fluorescente che penetra nella pelle e ne stimola il processo di ringiovanimento. Nel corso dei trattamenti nella pelle si osservano notevoli miglioramenti, ma anche dopo la fine delle sessioni attive la pelle continua a migliorare, e lo fa in modo duraturo.

Scopri un trattamento delicato, eppure efficace e non distruttivo, che utilizza l'energia luminosa fluorescente (FLE) per stimolare il processo di ringiovanimento naturale della pelle.
Ispirata dalla fotosintesi
L'innovazione della tecnologia di Kleresca® Skin Rejuvenation risiede nella sua capacità di creare energia luminosa fluorescente che attiva le cellule della pelle che producono collagene (fibroblasti).
Agisce a livello cellulare
L'energia luminosa fluorescente penetra nella pelle e raggiunge i vari strati della cute, potenziando la produzione di collagene mediante stimolazione dei naturali processi cutanei.
Circa il 400% di aumento del collagene
Gli studi effettuati mostrano che Kleresca® Skin Rejuvenation induce un aumento di circa il 400% della produzione di collagene.
Viso
Décolleté e collo
Mani
Come viene eseguito il trattamento
Il trattamento trifasico viene descritto come un'esperienza piacevole. Bastano 9 minuti sotto la lampada. Con un periodo di recupero post-trattamento minimo o nullo, è possibile applicare il trucco subito dopo ogni sessione.
Scientificamente provato
Kleresca® Skin Rejuvenation è un trattamento per tutte le stagioni che lascia la pelle rivitalizzata, tonica e luminosa. Non c'è aggiunta di alcunché: solo la pelle al suo meglio.
Scientificamente provato e raccomandato dai dermatologi, questo trattamento migliora il carnato e la texture complessiva della pelle senza causare traumi.
Fino al 400% di aumento di collagene
Gli studi effettuati mostrano che Kleresca® Skin Rejuvenation induce un aumento di circa il 400% della produzione di collagene.
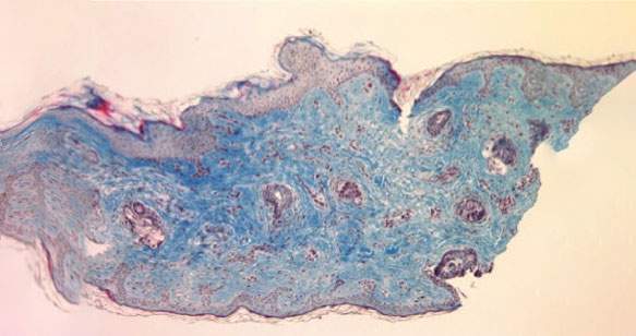
Aumento visibile della quantità di collagene (in blu) in 12 settimane di trattamento.

Biopsia prima del trattamento

12 settimane dopo il trattamento

Per una pelle sana a qualsiasi età
L'invecchiamento non è una malattia, fa parte della vita. Prendersi cura della propria pelle è una scelta.




